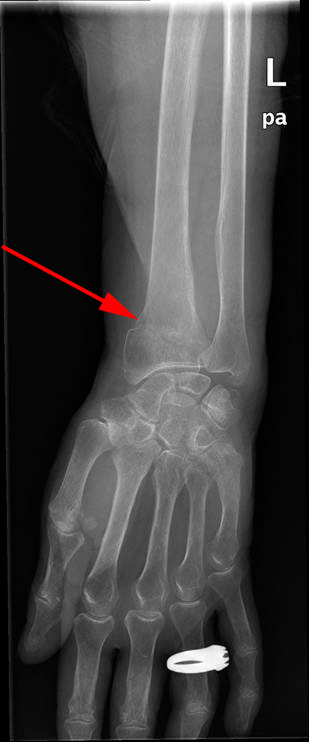
Fraktur Colles. Die-Punch-Fraktur : Intraartikuläre distale Radiusfraktur mit Sprengung der intermediären, kraftftragenden Säule im. Viele Menschen versuchen, einen Sturz reflexartig durch eine ausgestreckte Hand abzufangen.
Q: warum ist Colles -Fraktur die häufigste Fraktur bei Erwachsenen ?
Penatalaksanaan fraktur radius distal meliputi reduksi dan rehabilitasi.
Metafysär fraktur som vanligen är dorsalbockad (distala fragmentet vinklas dorsalt) och ihoptryckt. Kallas Colles fraktur. - Det finns även komminuta varianter av dessa frakturer (flera frakturfragment). Icke-ledengagerande fraktur av radius, t ex den vanliga ihoptryckta dorsalt felvinklade metafysära radiusfrakturen (Colles fraktur), vilken ses ff a hos personer med osteoporos efter fall på utsräckt hand.








